리더스병원

전체메뉴

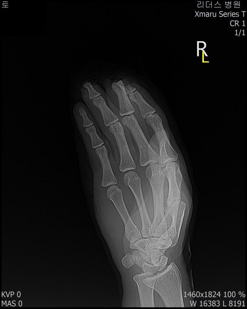
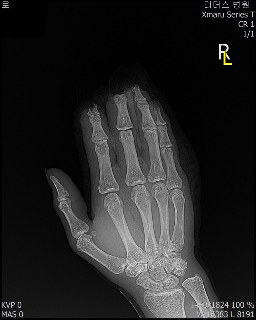
2018, 1월 1일 수지접합 ( 좌측 2,3,4수지 말단전달 치료 전, 후 모습)

페이지 정보

작성자 리더스 병원 작성일18-01-11 14:35 조회5,212회 댓글0건

본문


2018 / 11일 당시 ( 외국인 로 **)께서 좌측 2,3,4수지 말단전달본원 방문하여

현재 입원중입니다.

참고로 수지접합 부분에서는 환자분들이 대표원장님을 신의손 이라고 하시네요.

환자분들에게 항상 최선을 다하시는 원장님의 모습이 너무나 아릅답네요.

정말 제대로치료하는 리더스 병원이 되겠습니다.

 

0fb320c9b7ddcb6f612592a62af42c28_1515648
0fb320c9b7ddcb6f612592a62af42c28_1515648
0fb320c9b7ddcb6f612592a62af42c28_1515648
0fb320c9b7ddcb6f612592a62af42c28_1515648
0fb320c9b7ddcb6f612592a62af42c28_1515648
0fb320c9b7ddcb6f612592a62af42c28_1515648
0fb320c9b7ddcb6f612592a62af42c28_1515648
0fb320c9b7ddcb6f612592a62af42c28_1515648
0fb320c9b7ddcb6f612592a62af42c28_1515648
0fb320c9b7ddcb6f612592a62af42c28_1515648 

댓글목록

등록된 댓글이 없습니다.

하단 메뉴