리더스병원

전체메뉴

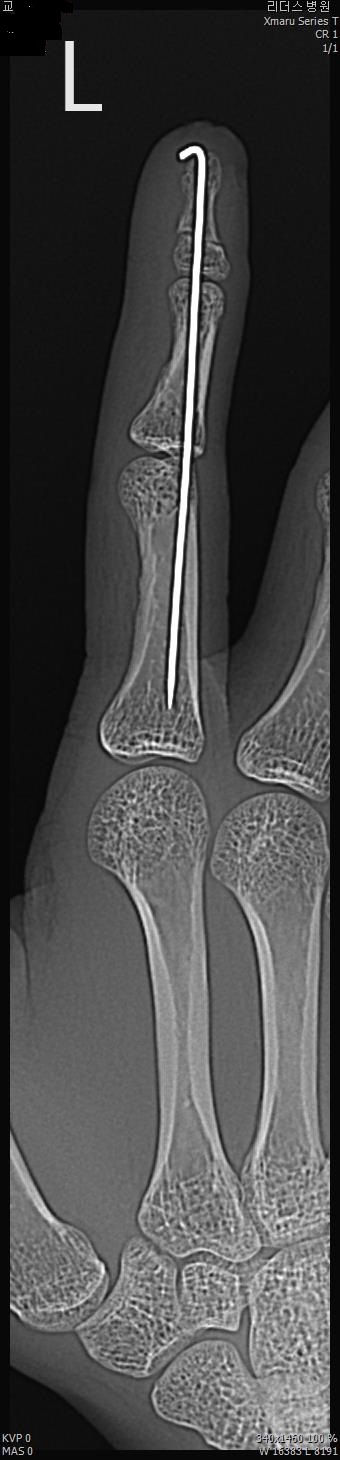
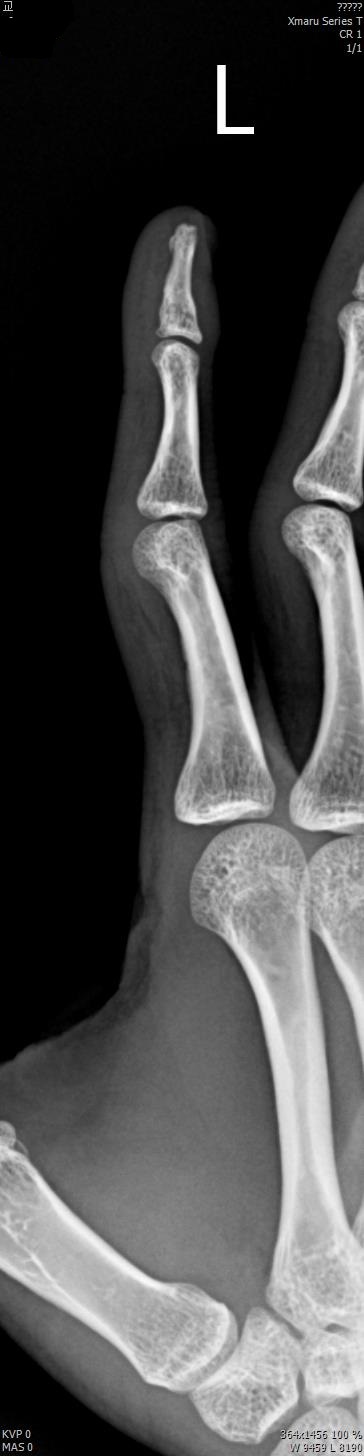
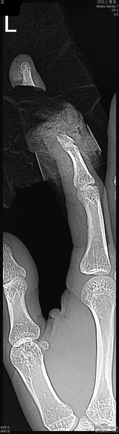
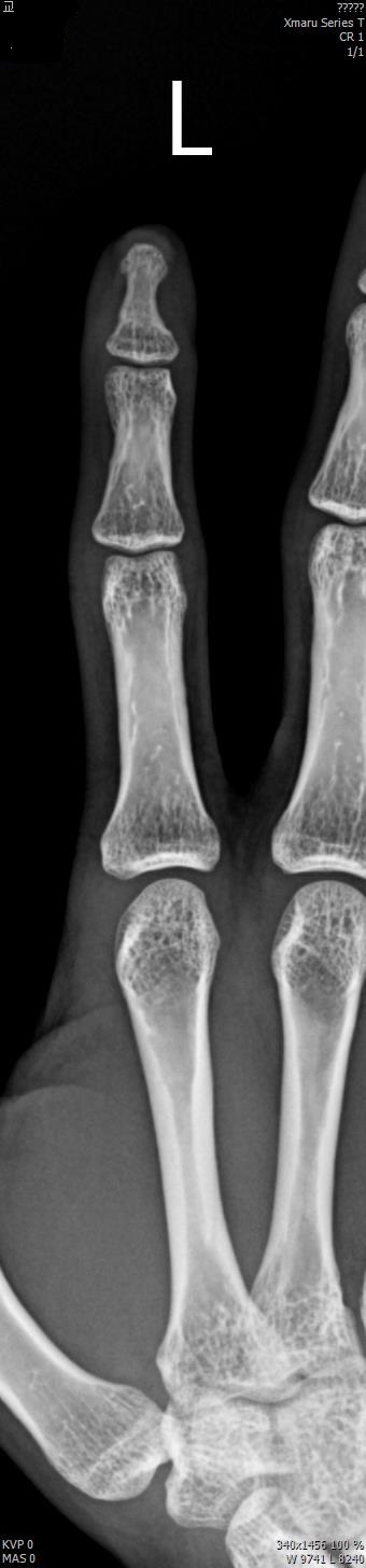
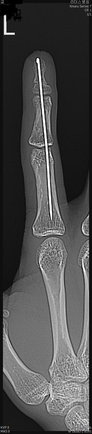
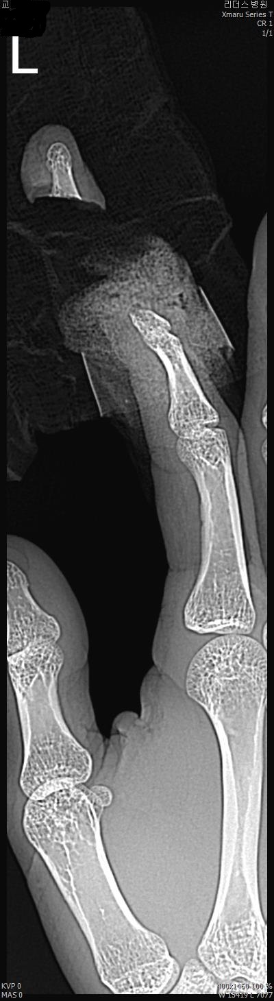
2017년 2월 14일 수지접합 ( 좌측 2수지 절단 치료 전, 후 모습)

페이지 정보

작성자 리더스 병원 작성일18-01-10 15:28 조회4,368회 댓글0건

본문

2017년도 224일 당시 ( 외국인 교 **)께서 기계에 전달되어 본원 방문함.
올 해 19일 약 1년여간 수지접합 치료 전,후 과정을 올립니다.


28c9b2aead27b2c8fe9419e1c31c66a4_1515565
28c9b2aead27b2c8fe9419e1c31c66a4_1515565
28c9b2aead27b2c8fe9419e1c31c66a4_1515565
28c9b2aead27b2c8fe9419e1c31c66a4_1515565
28c9b2aead27b2c8fe9419e1c31c66a4_1515565
28c9b2aead27b2c8fe9419e1c31c66a4_1515565
28c9b2aead27b2c8fe9419e1c31c66a4_1515565
28c9b2aead27b2c8fe9419e1c31c66a4_1515565
28c9b2aead27b2c8fe9419e1c31c66a4_1515565 

댓글목록

등록된 댓글이 없습니다.

하단 메뉴