리더스병원

전체메뉴

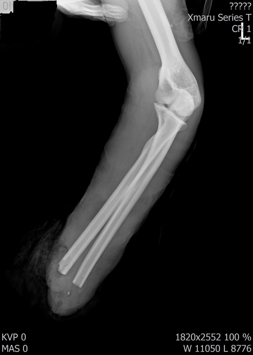
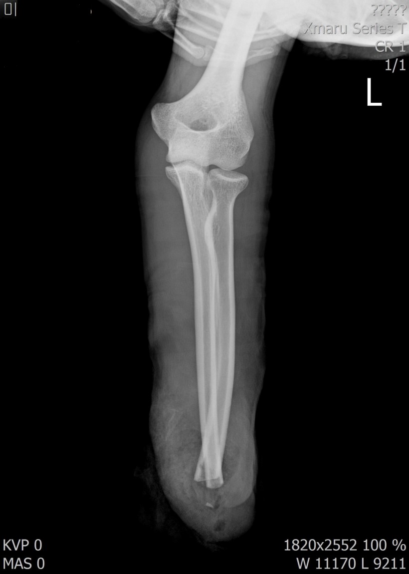
2017년 12월 23일 좌측 손목 절단 ( 치료 과정 모습)

페이지 정보

작성자 리더스 병원 작성일18-01-15 16:53 조회8,450회 댓글0건

본문

20171223일 당시 ( 외국인 미 **)께서 좌측 손목 전달되어 본원 방문함.
2018.115일 현재 치료 중인 환자에 대하여 .....

3c87a4f954aff82c99323553298b6e3c_1516002
3c87a4f954aff82c99323553298b6e3c_1516002
3c87a4f954aff82c99323553298b6e3c_1516002
3c87a4f954aff82c99323553298b6e3c_1516002
3c87a4f954aff82c99323553298b6e3c_1516002
3c87a4f954aff82c99323553298b6e3c_1516002
3c87a4f954aff82c99323553298b6e3c_1516002
3c87a4f954aff82c99323553298b6e3c_1516002
 

댓글목록

등록된 댓글이 없습니다.

하단 메뉴